Publié sur :
Publication Powerpoint Delepine - 2005
Voir la version PDF de cette publication :

Ostéosarcome : Epidémiologie, classifications actuelles, traitements
G. Delepine,
Nicole Delepine
Ostéosarcome : Epidémiologie, classifications actuelles, traitements
Les cancers de l'os sont rares
Cancer Statistics 1992 .Boring C C et all.Ca A cancer journal for clinicians 42:19;1992
L'ostéosarcome est le moins rare des cancers qui naissent dans l'os.
En France la prévalence estimée de l'ostéosarcome est de 3 /million/an soit environ 120 à 180 nouveaux cas par an.
Les sarcomes osseux forment un groupe hétérogène
Il existe plus d'une cinquantaine de variétés de tumeurs malignes primitives de l'os parmi lesquelles :
- Ostéosarcomes
- Chondrosarcomes
- Sarcome d'ewing
- Fibrosarcomes
- Histiocytofibrome malin
- Lymphome osseux primitif
- Sarcomes radioinduits
- Sarcomes du paget | - Adamantinome
- Leiomyosarcome
- Hémangoendothéliome
- Hémangiopéricytome
- Angiosarcome
- Schwannome malin
- Liposarcome
- Chordomes |
| Caractéristique ou tissu d'origine | Dénominations |
| Tumeurs avec formation de substance osseuse par les cellules tumorales | Ostéosarcomes |
| Tumeurs avec formation de cartilage et sans formation de substance osseuse | Chondrosarcomes |
| Tumeurs dans lesquelles les cellules tumorales forment des fibres | Histiocytofibrome malin Fibrosarcome |
| Crête neurale | Sarcome d'Ewing |
| Parois vasculaires | Leiomyosarcome, Hémangoendothéliome, Hémangiopéricytome |
| Tissu adipeux | Liposarcome |
| Tissu nerveux | Schwannome malin |
| Inconnue | Adamantinome |
Maladies prédisposant aux sarcomes osseux
| Tumeur bénigne d'origine | Sarcomes secondaires |
| Enchondrome | Chondrosarcomes centraux |
| Exostose ostéogénique | Chondrosarcomes
périphériques |
| Dysplasie fibreuse | Fibrosarcomes, MFH, Ostéosarcomes |
| Infarctus osseux | Fibrosarcomes, MFH |
| Ostéomyélite chronique | Fibrosarcomes |
| Maladie de Paget | Ostéosarome, Chondrosarcome, Fibrosarcome, MFH |
| Dysplasie ostéofibreuse | Adamantinome |
| Neurofibrome | Schwannomes, liposarcome |
Classification histologique
Critères principaux :
- nombre de mitoses par champ
- Atypies cellulaires
- importance de la nécrose.
En France la classification Histologique comporte trois degrés de malignité :
- Degré 1 le plus bas
- Degré 3 le plus élevé
Absence de grading histologique universel
Fréquence des formes classées intermédiaires
Fréquence des tumeurs sans
Pour le futur :
- marqueurs de la prolifération cellulaire
- ploïdie des chromosomes tumoraux
- comptages des cellules S ou marqueurs de la prolifération tumorale
Classification chirurgicale internationale
- Proposée par Ennecking puis complétée et modifiée par les principales équipes internationales elle a été adoptée par les sociétés américaine et européenne des tumeurs du squelette et représente la classification de base utilisée lors des congrès et dans les articles et les communications internationales.
- Elle prend en compte :
Le potentiel évolutif coté I, II ou III et l'extension locale cotée A ou B
Évolution des sarcomes de faible degré de malignité
Caractérisés par une progression locale souvent lente par contiguïté d'abord le long de la cavité médullaire osseuse. La corticale résiste et s'épaissit pendant que la tumeur la ronge de l'intérieur donnant un aspect d'os soufflé. Pendant longtemps la tumeur reste confinée à l'os intracompartimentale.
Pseudocapsule tumorale
Au bout d'un certain temps la corticale puis le périoste se rompent permettant l'envahissement des parties molles la tumeur devenant alors Extra compartimentale.
- Autour de la tumeur proprement dite, les tissus sains refoulés et comprimés constituent une pseudocapsule constante.
- Cette pseudo capsule ne forme cependant pas un plan de sécurité carcinologique car elle est très fréquemment envahie, ou franchie par des nodules de perméation.
Évolution des sarcomes de haut degré de malignité
Se caractérise par une évolution locale plus rapide et plus agressive et une diffusion à distance :
- Dans la médullaire : métastase sauteuse.
- Le long des loges musculaires envahies ou des coulées conjonctives : nodules de perméation.
- Mais aussi par voie veineuse, responsable de métastases pulmonaires ou osseuses, et exceptionnellement (histiocytofibrome malin) par voie lymphatique.
Même les très gros sarcomes osseux n'envahissent pas les vaisseaux
L'artère est retenue contre la tumeur par les artères nourricières.
Après ligature de toutes les artérioles le tronc artériel principal peut être mobilisé.
Les Sarcomes n'envahissent pas les artères
Les sarcomes n'envahissent pas les nerfs
En règle générale les nerfs fuient les sarcomes osseux dont il restent séparés par la pseudo capsule.
Dans notre casuistique, sur plus de 500 sarcomes osseux moins d'une sur cent englobaient un nerf principal attaché à l'os :
- Deux fois le nerf radial dans la coulisse humérale.
- Trois fois le nerf sciatique poplité externe sur le col du péroné.
Classification chirurgicale : Degré de malignité III (Ennecking)
Sarcome dont la haute malignité est attestée par l'existence de métastase(s) au bilan initial.
Classification chirurgicale : Extension locale
Classification Chirurgicale
La combinaison du potentiel évolutif (I , II ou III) et de l'extension locale (A ou B) détermine six groupes de pronostic différent qui guident les indications thérapeutiques.
| IA | TUMEUR INTRA-OSSEUSE DE BAS DEGRE DE MALIGNITE |
| IB | TUMEUR INTRA ET EXTRA-OSSEUSE DE BAS DEGRE DE MALIGNITE |
| IIA | TUMEUR INTRA-OSSEUSE DE HAUT DEGRE DE MALIGNITE |
| IIB | TUMEUR INTRA ET EXTRA-OSSEUSE DE HAUT DEGRE DE MALIGNITE, MFH |
| IIIA | TUMEUR INTRA-OSSEUSE METASTATIQUE |
| IIIB | TUMEUR INTRA ET EXTRA-OSSEUSE METASTATIQUE |
Grading Ennecking
Selon leur aspect évolutif, on distingue les sarcomes de bas degré de malignité (I) et les sarcomes de haut degré (II) de malignité.
Ostéosarcomes : Répartition par sexe, age et topographies
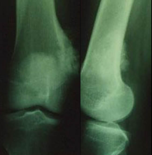
Les anomalies de la trame osseuse
Les anomalies de la trame osseuse associent des plages de condensation et d'ostéolyse donnant un aspect vermoulu à l'os.
Rupture du périoste : triangle de Codman
Envahissement des parties molles : le feux d'herbe
Les calcifications des parties molles perpendiculaires à l'axe principal de l'os réalise le classique feux d'herbe.
Aspects radiologiques d'ostéosarcome
Ostéosarcome juxta cortical
- L'ostéosarcome parostal ou juxtacortical siège électivement à la face postérieure du fémur.
- Il n'envahit que très tardivement la médullaire.
- Il s'agit d'une tumeur de faible degré de malignité dont le traitement classique est uniquement chirurgical.
Ostéosarcome juxta cortical évolué
Malade de 29 ans vue pour récidive. Le scanner affirme la nature juxtacorticale et la progression tout autour du fémur avec une ébauche d'envahisement intramédullaire.
Aspect moins évocateur
Jeune homme de 17 ans consultant pour des douleurs du genou d'horaire mécanique.
Cliniquement : genou froid, sec, stable, avec une zone douloureuse à la palpation de la face interne du genou.
Radiographie : petite réaction périostée postéro latérale interne du fémur.
Forme trompeuse sans atteinte des parties molles
Adolescent de 13 ans souffrant depuis 3 mois de son genou.
Radiographies montrant une lacune polycyclique sans atteinte des parties molles.
Aspect trompeur épiphysaire et lytique évoquant une tumeur à cellules géantes
Jeune femme de 25 ans souffrant de son genou selon un rythme mécanique depuis 3 mois.
Intérêt du scanner devant des anomalies oseuses non évidentes
Volumineux envahissement des parties molles au scanner.
Anomalies radiologiques discrètes sur les radiographies standard.
Principaux progrès dans le traitement local
- Imagerie médicale informatisée permettant d'évaluer précisément l'extension de la maladie.
- Audace des chirurgiens permettant de conserver un membre utile dans plus de 95% des cas.
- Amélioration des moyens de reconstruction prothétique massif.
Progrès en imagerie médicale. 1980 : le Scanner
Le scanner a permis de dépister l'extension intra médullaire invisible sur les clichés standard mais restait limité pour l'analyse de l'extension intra articulaire ou pour les petits os.
Métastases sauteuses du fémur distal
Métastases sauteuses du Tibia proximal
Bilan préopératoire d'un ostéosarcome
Dans tous les cas :
=> radiographies standard en taille réelle
=> Scanner os entier avec reconstruction
=> Scintigraphie osseuse corps entier
=> IRM
Parfois :
=> Angiographie digitalisée
=> Phlébographie
Progrès dans les traitements médicaux
La cible thérapeutique prioritaire d'un ostéosarcome commun est la diffusion métastatique.
Son stade occulte représente le moment privilégié d'efficacité maximale.
L'utilisation préopératoire de la chimiothérapie permet d'adapter les doses de méthotrexate à chaque malade et à chaque tumeur antimitogramme in vivo.
Il y a 30 ans la chirurgie pour sarcome du genou se résumait à l'amputation.
Ostéosarcome du fémur inférieur : amputation de cuisse.
Désarticulation de hanche pour ostéosarcome du fémur inférieur
Le faible taux de guérison obtenu ne justifiait guère les mutilations réalisées
La chirurgie conservatrice est possible même en cas de très grosse tumeur (2) ostéosarcome
- Très gros ostéosarcome du tibia.
- Résection monobloc du tibia et du péroné après chimiothérapie selon le protocole DD1.
- Rémission complète depuis 13 ans.
La chirurgie conservatrice est possible même en cas de fracture (3)
Malade en rémission 8 ans après traitement.
La chirurgie conservatrice est possible même chez l'enfant jeune
Janvier 1989 : Enfant de 4 ans et demi. Ostéosarcome du fémur inférieur. Chimiothérapie. Résection. Prothèse de croissance génération 1.
Aout 2000 : 16 ans. Allongement de 12cms fonction excellente.
Exemple de grosse tumeur chez une enfant de 11 ans
La chirurgie conservatrice est possible même chez l'enfant jeune et tumeur du tibia supérieur
1992 : Enfant de 10 ans souffrant d'un ostéosarcome du tibia supérieur.
1994 : Prothèse tibiale à croissance active (génération 3).
1997 : Allongement de 5 cms 18 ans.
2000 : Croissance des membres inférieurs terminée.
Notre Casuistique. Limites d'éxérèse
L'examen histologique a montré que la résection était :
Large pour 295 cas.
Marginale dans 185 cas.
Contaminée dans 18.
Complications
Les complications orthopédiques étaient dominées par les infections profondes (42 cas) 24 malades (5 %) ont du être secondairement amputés pour infection récidivante ou pour récidive locale.
Le résultat fonctionnel constitue le meilleur plaidoyer pour la chirurgie conservatrice
Plus de 85% des malades bénéficie d'un membre dont la fonction est bonne ou excellente, dépendant de l'age du malade, du volume et du siège de la tumeur.
Résultat fonctionnel après résection du fémur distal et reconstruction par prothèse
Appui monopodal, flexion.
Résultat fonctionnel après ablation totale du fémur et reconstruction par prothèse + greffe
Très volumineux sarcome d'ewing métastatique d'emblée traité par chimiothérapie et chirurgie conservatrice. Rémission complète depuis 12 ans.
Progrès dans les traitements médicaux
La cible thérapeutique prioritaire d'un ostéosarcome commun est la diffusion métastatique.
Son stade occulte représente le moment privilégié d'efficacité maximale.
L'utilisation préopératoire de la chimiothérapie permet d'adapter les doses de méthotrexate à chaque malade et à chaque tumeur antimitogramme in vivo.
Ostéosarcome et intensité de dose de MTX
L'augmentation de l'intensité de dose de MTX de 80 mg/kg/semaine à 8 gr/m2/semaine a fait passer le pourcentage de réponse objective de 30% a 87%.
"Recent advances in the chemotherapy of metastatic osteosarcoma" Cancer 1972,30: 1627
"Weekly HDMTX and citrovum factor in osteogenic sarcoma" Cancer 1977, 39:45
Protocoles ROSEN T7, T10 ,T12.
La diminution de dose de méthotrexate de 240 à 96 grammes/m² a fait passer l'espérance de guérison de 84% à 65%.
Ostéosarcome rôle de la chimiothérapie sur le taux de survie en première rémission
Link M.P. The effectof adjuvant chemotherapy on relapse free survival. New eng E J M 1986,314:1600-6
Ostéosarcome chimiothérapie immédiate versus chimiothérapie secondaire
Link M.P. The effectof adjuvant chemotherapy on relapse free survival. New eng E J M 1986,314:1600-6
Étude de la littérature de l'ostéosarcome : Optimalisation de la chimiothérapie.
L'intérêt du protocole Rosen est régulièrement remis en question par la publication d'essais randomisés ne respectant pas les règles édictées par Rosen :
1°) La chimiothérapie préopératoire est un acte d'investigation, et non pas une recette.
2°) Donner au moins 240 grammes/m² de MTX.
3°) Ne pas noyer le MTX dans les perfusions.
4°) Ne jamais perdre de temps entre les cures.
5°) Augmenter les doses de MTX si doute.
6°) Augmenter la dose si pic sérique insuffisant (H6>1000μmol/L
Ostéosarcomes. Résultats des protocoles néoadjuvants
Taux moyen de rémission à 5 ans :
=> 49% pour les protocole sans HDMTX
=> 70% pour les protocoles HDMTX
Protocole RIZZOLI 1 (1983-1986) DFS selon la dose de MTX
d'après Bacci g., Picci P., Ruggieri P. et coll. "Primary chemotherapy and delayed surgery for osteosarcoma of the extremities." Cancer 65, 2539-2553, 1990
Corrélation survie/intensité de dose de méthotrexate
L'intérêt de ce Méthotrexate réellement haute dose est d'ailleurs évident lorsqu'on réalise une macro-analyse de tous les essais randomisés ou non unicentrique ou multicentrique jusqu'ici publiés sur le sujet.
(Delepine et Coll. Influence of methotrexate dose intensity on outcome of patients with high grade osteogenic osteosarcoma. A literature analysis, about 1909 cases. Cancer, 1996, 78 : 2127-35).
Variabilité de la pharmacocinétique individuelle du MTX
Avec 12 grs/m² par cure seulement 55% des malades obtiennent un pic sérique de méthotrexatémie supérieur à 1000 μmol/L.
Corrélation entre la réponse tumorale et le pic sérique de méthotrexatémie
Protocole RIZZOLI 2 valeur pronostique de la methotrexatemie à H6
d'après Bacci g., Picci P., Ruggieri P. et coll. "Primary chemotherapy and delayed surgery for osteosarcoma of the extremities." Cancer 65, 2539-2553, 1990
Résultat des protocoles T10 et HELP de la Société Française d'Oncologie Pédiatrique
Avec 15 ans de recul, les protocoles T7 et T10 de Rosen, dont les malades ont été revus par des examinateurs indépendants, restent les protocoles qui donnent les meilleurs résultats.
Etudes pilotes OS.DD1 et OS. DD11
Chimiothérapie préopératoire de 4 semaines
Methotrexatémies observées après perfusion continue de 6 heures.
Protocole OS DD11 Chimiothérapie post-opératoire
Ostéosarcomes. Nos Résultats 1980-2000