Publié sur :
Power point Nicole Delépine - 2000
Voir la version PDF de cette publication :

Informations sur les Chondromes
G. Delepine,
Nicole Delepine
Informations sur les Chondromes
Il existe plus d'une cinquantaine de variétés de tumeurs bénignes primitives de l'os parmi lesquelles :

Les chondromes sont des hamartomes nés de cellules cartilagineuses aberrantes et composés de cartilage hyalin très bien différentié.
Les chondromes représentent près de 15% des Tumeurs osseuses bénignes
Répartition par topographies de 481 chondromes

Les chondromes peuvent toucher tous les os mais atteignent surtout la main qui regroupe plus de 60% des cas publiés en série.
Seulement 15% des chondromes touchent le genou.
Les chondromes centraux sont peu fréquents et de pronostic incertain.
Cette répartition topographique les distingue franchement des chondrosarcomes volontiers centraux ou proximaux.
Répartition par sexe et age de 481 chondromes

Il s'agit d'une tumeur de l'adulte jeune.
Peu fréquente chez l'enfant de moins de 10 ans.
L'age moyen de découverte de la tumeur est de 30 ans.
Les tumeurs d'apparition tardive (>60ans) doivent faire craindre le chondrosarcome.
Formes topographiques des chondromes
Chondromes solitaires : Centraux ou périphériques. Signes révélateurs des chondromes

La croissante lente et progressive des enchondromes est habituellement discrète.
Douleurs, découverte fortuite sur un examen radiologique justifié par un traumatisme: 10%.
Tuméfaction palpable d'un petit os superficiel.
Fractures spontanées inaugurales.
1 fois sur 2 : main
1 fois sur 10 : os longs
Chondrome et Troubles de croissance

Adolescent de 13 ans venu consulter pour une déformation du bras apparue progressivement en quelques années.
Biopsie : enchondrome
Radiologie : géode soufflée
Géode claire, homogène, arrondie, petites opacités.
Corticale soufflée.

Dans les enchondromes, la soufflure témoigne de la lenteur de la progression tumorale à l'intérieur de la cavité médullaire.
Chondromes jeunes, non calcifiés

Les calcifications sont inconstantes. Elles n'apparaissent que tardivement sur des chondromes vieillis, mal vascularisés.
Aspect IRM pour d'un enchondrome

Malade souffrant de son épaule gauche depuis plus de 6 mois.
Radiographies considérées comme normales.
IRM montrant un petit chondrome dont la tonalité hydrique est évocateur de la nature cartilagineuse.
Radiologie : les calcifications
Siège métaphysaire ou métaphyso-diaphysaire.
Géode claire, homogène, arrondie, nette.
Trabéculations fines ou petites opacités punctiformes.

Dans les enchondromes, l'imagerie montre des images floconneuses à l'intérieur de la cavité médullaire.
Ces calcifications augmentent avec l'age de la tumeur.
Intérêt du scanner pour le diagnostic de tumeur cartilagineuse débutante

Dans les enchondromes même peu calcifiés, le scanner peut montrer des calcifications à l'intérieur de la cavité médullaire.
IRM et chondrome faiblement calcifié

Les calcifications débutantes sont mieux mises en évidence sur le scanner ou l'IRM.
Radiologie des chondromes périphériques
Métaphyse, métaphyso-diaphyse
Trabéculations fines ou petites opacités.
Corticale soufflée.
Excroissance inhomogène à base d'implantation large (cloison corticale).
Évolution des chondromes
Récidive rare, après traitement chirurgical correct qu'il s'agisse de curettage comblement (enchondrome) ou d'une resection.
Fracture pathologique assez fréquemment révélatrice à la main.
Inégalités et déviations des membres (prévisions difficiles) s'observe surtout dans la maladie d'Ollier.
Transformations malignes en chondrosarcomes :
- rares pour les chondromes solitaires
- 20% des cas d'enchondromatose
Chondrosarcome secondaire sur chondrome
Techniques chirurgicales possibles
Curettage, complété ou non d'adjuvants (Cryothérapie ou Phénol), suivi de comblement spongieux ou de comblement ciment.
Résection, suivi de reconstruction épiphysaire ou d'arthrodèse ou de prothèse massive.
Traitement des chondromes : curettage simple

Chondrome scapulaire compressif : exérèse.
Traitement des chondromes : récidive après curettage simple
Chondromes du sacrum :
- L'exérèse complète est impossible
- Les récidives sont fréquentes

7ème récidive d'un chondrome du sacrum.
Curettage comblement d'un enchondrome
Curettage comblement par céramique phosphocalcique d'un enchondrome du doigt
Curettage comblement ciment
Cryothérapie + ciment pour Chondrome agressif (1/2)

Jeune fille de 18 ans souffrant de son épaule depuis 6 mois.
Scanner et IRM mettant en évidence une tumeur cartilagineuse agressive envahissant la médullaire et les parties molles.
Traitement classique : résection monobloc.
Traitement d'un chondrome agressif : cryothérapie

Pour éviter la diminution de fonction de l'épaule décision de curettage, cryothérapie, comblement ciment et ostéosynthèse.
Suites opératoires simples.
Résultat tumoral et fonctionnel excellent.
Avantages de la cryothérapie suivie de comblement au ciment :
1°) absence de prélèvement osseux.
2°) usage immédiat et libre du membre opéré.
3°) surveillance radiologique postopératoire facile.
4°) excellent taux de contrôle tumoral local (égal a celui obtenu par résection large).
Résection sans reconstruction

Chondrome périphérique Enchondrome protubérant (simule une exostose) ou chondrome périosté (juxta cortical).
Exérèse simple, pas de fragilisation importante de l'os.
comblement inutile, ostéosynthèse inutile.
Résection d'un chondrome de la tête du péroné
Résection suivie de reconstruction osseuse
Résection + reconstruction par greffe + ostéosynthèse
Résection + reconstruction par prothèse interne
Enchondromatose diffuse (Maladie d'Ollier)
Lorsque quelle est associée à une angiomatose elle réalise le syndrome de Maffuci.
Maladie d'Ollier : lésions du membre supérieur
Déformations de la main, de l'avant-bras.
Tuméfactions multiples (doigts, côtes).
Enchondromatose Ollier : Asymétrie des lésions
unilatéralité dans 50% des cas responsable d'inégalités des membres avec incurvation.
Unilatéralité dans 50% des cas.
Inégalités des membres
inférieurs.
Boiterie avec incurvation (genou, cheville).
Unilatéralité dans 50% des cas.
Inégalités des membres.
Boiterie avec incurvation (genou, cheville).
Evolution de lésions de la hanche Enchondromatose (Ollier)
Transformations malignes en chondrosarcomes
- 20% des cas d'enchondromatose.
- rares pour les chondromes solitaires.
Transformation maligne en chondrosarcome

Enchondromatose connue depuis l'age de 2 ans. Humérus présentant une lésion bifocale dégénérescence de la localisation humérale inférieure.
Transformations malignes en chondrosarcomes : 20% des cas d'enchondromatose

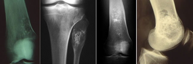
Douleurs du genou chez une femme de 45 ans souffrant d'enchondromatose multiple.
La scintigraphie osseuse hyperfixante et la radiographie de profil doivent inquiéter.
Douleurs du genou chez une femme de 45 ans souffrant d'enchondromatose multiple

Biopsie chirurgicale confirmant le chondrosarcome dédifférencié.
Bilan révélant des métastases pulmonaires.
Évolution défavorable.
Conclusions
Les chondromes représentent l'une des tumeurs osseuses les plus fréquentes.
Son diagnostic repose sur un faisceau d'arguments ou le résultat anatomopathologique doit toujours être confronté aux données radio-cliniques.
Le traitement standard est le curetage comblement qui assure habituellement la guérison.
Le risque de dégénérescence rare, mais souvent insidieux, impose de traiter précocement les chondromes centraux de l'adulte.