Publication de Nicole Delepine : Dignostique d'un Kyste Anévrysmal de l'os

Nicole delépine, le site officiel English Version Version Française
Accueil Site officiel ACCUEIL
Accueil du site officiel de Nicole Delepine
publication cancérologue réputé nicole delepine ostéosarcome
sarcome ewing publications du docteur nicole delepine
Publié sur : Publication Powerpoint Nicole Delepine - 1999
Voir la version PDF de cette publication : Document PDF
Dignostique d'un Kyste Anévrysmal de l'os
Nicole Delépine

Diagnostique d'un Kyste Anévrismal de l'os



Introduction



Le kyste anévrysmal est une dystrophie pseudo tumorale rare dont le diagnostic parfois difficile et l'évolution capricieuse peuvent rendre les indications thérapeutiques délicates.
L'essentiel étant de ne pas nuire en adoptant une thérapeutique trop agressive.

Topographie des 963 Kystes Anévrysmaux



Topograpie des Kystes



Par ordre de fréquence:

-Les os plats tels que le crâne et la face (11%),le rachis (10%) et le bassin (9%),
-Les gros os longs des membres : Tibia (21%) Fémur (19%) et humérus (9%),

Dans les os longs le kyste anévrysmal prédomine sur les métaphyses ou la zone métaphyso diaphysaire.
la diaphyse peut être atteinte.

Répartition par âge des 963 malades



Age of patient


Répartition par sexe des 963 malades



Sexe of patient


Les signes révélateurs n'ont rien d'originaux


Signes Revelateurs


Souffrance épaule droite

Enfant de 6 ans souffrant de l'épaule droite depuis 6 mois


Hanche1


Hanche2

Garçons de 13 ans souffrant de sa hanche depuis 6 mois


Machoire1

Machoire2

Enfant de 8 ans ayant une gêne à la mastication


Localisation sur l'os



Localisation osseuse 1

Localisation sur l'os habituellement excentrée

Localisation osseuse 2


Aspect radiologique au stade actif



Aspect


-Lyique pur
-Soufflante
-Volontier excentrée
-Détruisant les corticales
-Soulevant le périoste sans limites nettes avec les parties molles
-A ce stade la lésion peut faire craindre une tumeur maligne.

Le signe radiologique le plus évocateur est la soufflure parfois extrême


Soufflure

Lacune ovalaire plus ou moins réticulée soufflant a la corticale
Soufflure majeure par une tumeur ostéolytique parcourue de cloison de refend.
Corticale amincie et même rompue par endroits mais sans éperon périosité.
Refoulement des parties molles par une mince coquille d'oeul.


Radios

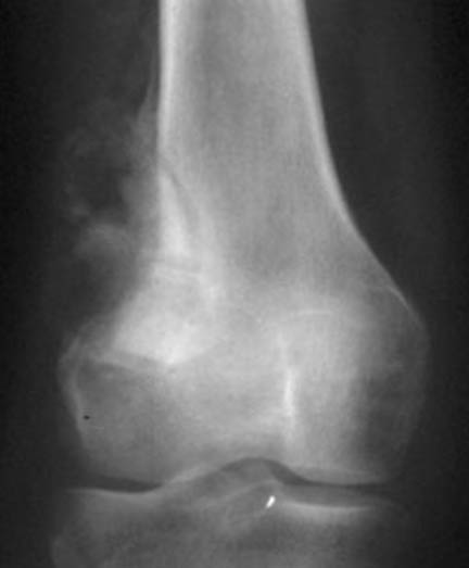
Jeune fille de 13 ans souffrant de son genou depuis 6 mois


Le signe le plus évocateur est la soufflure.

Imagerie

Jeune fille de 13 ans, douleurs mécaniques


Imagerie genou

Jeune fille de 14 ans souffrant de son genou depuis 2 mois


Imagerie cou et rachis cervical

Torticolis apparu insidieusement chez un jeune homme de 20 ans


Imagerie bassin

Jeune homme de 17 ans souffrant de l'aine


Aspects de KA fémoraux



Femoraux 1


Femoraux 2


Lésion centrale, parfois périphérique à développement sous périosité.
Dimension de 2 a 25 cm.

Aspects de KA du tibia



KA du tibia 1


KA du tibia 2


Lacune ovalaire plus ou moins réticulée soufflant la corticale.

Aine 1


Aine 2

Jeune homme de 25 ans souffrant de l'aine droite depuis 3 mois


Radiologie standard au stade de maturité



Radiologie


-Une mince coque périphérique d'os néoformé apparaît qui délimite la lésion des parties molles.
-Une bande de sclérose osseuse se forme à la jonction avec l'os sain.

Radiologie


Radiologie


L'expansion des parties molles peut être parfois prédominante et trompeuse.

Bilan d'extension locale



Limite en coquille d'oeuf


Scanner

Le scanner montre parfois des niveaux liquides


Scintigraphie

La scintigraphue est modérément positive


L'artériographie ou l'angioIRM montre les pédicules artériels et permet de discuter une embolisation.

Aspect TDM au stade maturité



Scintigraphie

Niveai liquides intra tumoraux


Coque Osseuse


Scanner coque osseuse


Scanner coque osseuse 2


Le scanner peut mettre en évidence la fine coquie osseuse périphérique néoformé qui délimite la lésion des parties molles.

Kyste Anévrismal de la transverse



Kyste de la transverse


Kyste de la transversee 2


Lésion Calcanéenne



Lésion Calcanéenne

Lésion calcanéenne chez un homme de 36 ans


Envahissement nos ossifié des parties molles



Envahissement 1


Envahissement 2


Envahissement 3


Lésions pseudo malignes au stade initial
La destruction corticale et l'atteinte des parties molles peut faire craindre la malignité.

Tumeurs lytique



Radiographie du pubis


Tumeurs lytiques du pubis

Tumeurs lytiques du pubis chez une jeune femme de 24 ans. Découverte fortuite


L'évoluition peut être rapide


Epaule gauche


Enfant de 6 ans souffrant de son épaule gauche depuis 6 mois. Progression tumorale en 3 mois.

Evolution rapide d'un Kyste Anévrismal



Talon

Malade de 52 ans souffrant depuis 6 mois de son talon. Radiographie initiales.Aggravation rapide de ses douleurs.Destruction osseuse avec rupture cortiacale


Evolution spontannée d'un Kyste Anévrismal du rachis



Kyste du rachis


Evolution d'un Kyste Anévrismal du genou



Kyste du genou


Aspect macrosopique



Aspect macro


-L'ablation au bistouri d'un mince couvercle osseux ouvre la cavité tumorale.
-Celle-ci, souvent multioculaire est remplie de sang incoagulable et/ou d'un tissu brun rougeâtre fiable rappelant un peu l'aspect des tumeurs à cellules géantes.

Aspect microsopique



Aspect micro


Multiples cavités hématiques de quelques nm ou de 1 à 2 cm de diamètre contenan du sang non coagulé.Aspect en éponge.

Aspect Histologique



Lacunes arrondies


Multiples lacunes arrondiesséparées les unes des autres pas des septas tantôt minces tanôt plus épais.Les parois parfois bordées de cellules endothéliales sont dépourvues des autres éléments constitutifs habituels des vaisseaux sanguins.

Espaces vasculaires


Ces espaces vasculaires peuvent représenter la quasi totalité de la tumeur ou au contraire s'accompagner d'un abondant tissus cellulaire pouvant évoquet une tumeur à cellules géantes.

Aspects Microscopiques



Lacunes 1


Lacunes 2


Lacunes 3


Lacunes 4


Les lacunes sont séparés par des cloisons conjonctives porteuses d'ostéoclastes et d'une ostéogenèse réactionnelle.

Diagnostic différentiel



-Sarcome anaplasique télangectasique dont le diagnostic peut nécessiter l'examen de très bonnes coupes au fort grossissement
Attention aux examens histologiques extemporanés!
-Tumeur à cellules géantes car certains aspects tumoraux sont parfois très semblables et l'association des deux lésions n'est pas exceptionnelle.
-Kyste solitaire fracturé.

Diagnostique


A1 - Ostéosarcome
A2 - Kyste Anévrysmal
A3 - Ostéosarcome


Diagnostique 2

Ewing


Diagnostique 3

Kyste Anévrysmal


Enfants de 7 et 9 ans souffrant de leurs epaules droites depuis respectivement 3 et 6 mois.
Découverte d'ostéolyse soufflante de la glène scapulaire finement cerclée par une coque osseuse.

Diagnostique 4

Ewing


Diagnostique 5

Kyste Anévrysmal


Diagnostique 6

Kyste Anévrismal


Tumeurs Lytiques des branches iliopubienne chez des enfants et des adolescents

Kystes Anévrysmaux secondaires



Tumeur du fémur

Tumeur du fémur inférieur révélée par une fracture. Biopsie: Kyste anévrysmal. Traitement orthopédique. Consolidation de la fracture.


Tumeur du 2

4 ans plus tard réapparition de douleurs et tuméfaction des parties molles avec décollement périosté et feux d'herbe. Biopsie: Ostéosarcome


Conclusion



-Le kyste anévrysmal est une dystrophie osseuse bénigne dont le diagnostic repose sur un faisceau d'arguments.
-La biopsie d'une zone représentative déterminée par un scanner ou une IRM est toujours nécessaire.
-Il peut s'agir d'une lésion secondaire ou associée à une autre tumeur éventuellement maligne.
-Son évolution après traitement, habituellement favorable, est cependant imprévisible et justifie une surveillance prolongée.



publications médicales


sarcome d'ewing
nicole delepine cancer tumeur ostéosarcome
Facebook Tweeter