Publié sur :
Power point Nicole Delépine - 2008
Voir la version PDF de cette publication :

Diagnostic et traitement des tumeurs osseuses à Cellules Géantes bénignes
G. Delepine,
Nicole Delepine
Diagnostic et traitement des tumeurs osseuses à Cellules Géantes bénignes
Les tumeurs à cellules géantes sont relativement rares

Elles représentent 5 à 10% des tumeurs primitives osseuses.
Age des malades lors du diagnostic de Tumeurs à cellules géantes
(1444 cas extraits de 10 séries)

80 % des cas touchent des Adultes jeunes entre 20et 40 ans
Répartition selon le sexe

Répartition à peu près égale entre Hommes et Femmes.
Topographies de 1444 Tumeurs à cellules géantes (10 séries)

Tumeur épiphyso métaphysaire, des os longs des membres:
50% des cas touchent le genou, fémur inférieur, tibia supérieur
9% l'extrémité inférieure du radius
GENOU : 50% des cas
Localisation radiale inférieure : 5 à 10 %

Volontiers agressive. Les récidives itératives aboutissent le plus souvent au sacrifice articulaire.
Signes révélateurs
Les signes révélateurs sont ceux de toute tumeur osseuse:
- Latence clinique fréquente
- Douleurs
- Tuméfaction, parfois avec crépitation
- Fractures pathologiques (5 à 10% des cas)
Fractures révélatrices
Aspect radiologique typique

Lacune épiphyso métaphysaire lytique pure
Ovalaire ou arrondie
Discrète soufflure de l'os
Parfois trabéculée
Limitée par un fin liseré condensé
Aspect tomodensitométrique typique

Persistance d'une corticale continue, parfois en pointillée
Respect du cartilage articulaire
Pas d'envahissement des parties molles
Autre Aspect radiologique typique

Tumeur épiphyso-métaphysaire lytique.
Classification radiologique (Meary)

Aucune corrélation notable avec l'aspect histologique ni avec l'évolution ultérieure (risque de récidive...)
Tumeurs à cellules géantes calmes

Limites nettes, condensées, Cloisons.
Aspect en nid d'abeilles

Cloisons de refend intratumorales.
Trabéculation.
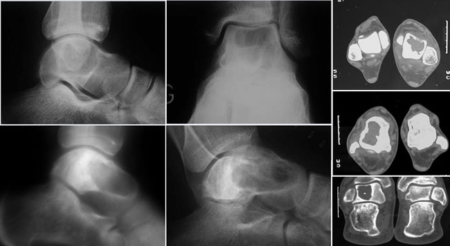
Tumeurs à cellules géantes de l'astragale

Homme de 21 ans.
Tumeur à cellules géantes active

Limites imprécises.
Corticales soufflées.
Tumeurs à cellules géantes Agressives

Destruction corticale.
Atteinte des parties molles.
Fracture.
La tumeur à cellules géantes bénigne peut envahir les parties molles
Intérêt du scanner ou de l'IRM

Pour le diagnostique radiologique de bénignité devant une destruction corticale d'une tumeur agressive.
Persistance d'un reliquat périostique limitant l'atteinte des parties molles.
Tumeur agressive
Autres examens

Scintigraphie hyperfixante +++
Biologie négative
(métabolisme phosphocalcique normal +++)
Diagnostic différentiel

Diagnostic différentiel radiologique avec les tumeurs épiphysaires :
- Chondroblastome épiphysaire bénin.
- Kyste anévrysmal.
- Tumeur brune de RECKLINGHAUSEN: au moindre doute penser à doser la calcémie et la parathormone.
La biopsie chirurgicale est indispensable
Il faut s'assurer par une biopsie qu'on est devant une Tumeur à Cellules Géantes et
qu'elle est bien bénigne.
Sachant qu'une Tumeur à Cellules Géantes maligne peut parfois comporter des zones bénignes, il faut donner au pathologiste la plus grande quantité possible de tissu tumoral.
Aspect macroscopique

Logettes osseuses.
Tissu mou chamoisé ou brunâtre.
Biopsie Exérèse des Tumeurs à cellules géantes bénignes
Dans certaines circonstances exceptionnelles, il est possible de demander une biopsie extemporanée, en vue de faire le traitement au cours de la même séance opératoire pour éviter au malade une deuxième anesthésie.
On y est autorisé si le pathologiste rompu aux pièges diagnostiques des tumeurs des os identifie la lésion comme étant une Tumeur à cellules géantes bénigne, ou s'il d'affirme la bénignité même sans vouloir certifier la nature de la tumeur.
Si le moindre doute existe sur la bénignité, il faut par contre remettre la thérapeutique à plus tard, en laissant au pathologiste le temps de mettre en oeuvre les techniques histologiques conventionnelles.
Tumeurs à cellules géantes : Aspect microscopique

1°) Fond homogène de cellules rondes ou ovalaires, a noyau arrondi et chromatine fine.
2°) cellules géantes plurinucléées (de 30 à 100 noyaux) irrégulièrement réparties.
3°) mitoses rares.
4°)Présence de phosphatases acides.
Tumeurs à cellules géantes : Aspect microscopique

Les réactions histochimiques montrent la présence de phosphatases acides dans le cytoplasme des cellules géantes et de quelques cellules mononucléées.
Histo-diagnostic et pronostic (JAFFÉ-LISCHTENSTEIN)

Cellules mononuclées. Anomalies nucléaires variées (grades I, II, III).
Diagnostic d'évolutivité impossible de façon rigoureuse sur les signes anatomo-pathologiques.
Tumeurs à cellules géantes : Complications spontanées
Complications fréquentes :
- Fractures,
- compressions nerveuses,
- pseudarthroses,
- infections.
Pronostic incertain, récidives +++, tumeur bénigne (?) maligne (?).
Fractures
Envahissement des parties molles

Complication assez fréquente : peut être source de compression nerveuse.
Compressions médullaires
Compressions tronculaires

Atteintes du sciatique poplité externe sur Tumeur à cellules géantesde la tête du péroné.
Techniques chirurgicales possibles
- Curettage,
- Complété ou non d'adjuvants (Cryothérapie ou Phénol),
- Suivi de comblement spongieux ou de comblement ciment,
- Résection,
- Suivi de reconstruction épiphysaire, ou d'arthrodèse, ou de prothèse massive.
Le Curettage simple est peu efficace

Plus de 60% de récidive dans la série de Bonfiglio.
Le comblement de la cavité est indispensable.
Comblement spongieux

Curetage large + comblement (autogreffe, allogreffe).

Curetages, comblement osseux :
- Bons résultats,
- Récidives : 50 % des cas.

Curetages larges + comblements.

Femme - 23 ans : curetage + greffe.

Curetages larges + comblements. Greffe + 9 mois.

Curetages larges + comblements. Greffe + 14 ans.
Comblement spongieux + ostéosynthèse

Curetage large + comblement (autogreffe, allogreffe) + ostéosynthèse parfois.
Récidives : 50 % des cas

Greffe à 13 ans - récidive à 31 ans - nouvelle greffe.
Curetages larges + comblements Récidives fréquentes.
Délai 5 mois à 20 ans. Parfois 2 à 3 récidives.
Le curettage comblement osseux est suivi de nombreuses récidives locales !
Date des récidives après curettage comblement osseux
Importance de la taille de la fenêtre corticale Etude EMSOS 1990 n=380

L'abord large (grande fenêtre ou éventration) diminue le risque de récidive.
Résultats des curetages-comblement à l'os de la série EMSOS
677 curetages-comblements pour Tumeurs à Cellules Géantes bénignes des membres ont donné :
- 503 guérisons par un 1er curetage-comblement et 174 récidives dont :
- 82 seront guéries par un 2ème curetage-comblement ;
- 6 par un 3ème curetage-comblement ;
- 1 par un 4ème curetage-comblement,
soit 592 guérisons locales (87,5 %).
Les autres récidives se sont soldées par des résections et quelques rares amputations.
Intérêt des traitements adjuvants après curettage (étude EMSOS 1990)

Pourcentage de récidive.
Résection + prothèse interne

Résultats tumoraux meilleurs que curetage comblement osseux simple, mais expose aux complications des prothèses massives (usure, infection).
Résection + reconstruction par arthrodèse

Résultats tumoraux meilleurs que curetage comblement osseux simple, dans les cas accessibles à une résection mais sacrifice de la fonction articulaire.
Amputation

Amputation - désarticulation en cas de dégénérescence (ici dégénérescence post radique).
Traitement

Curetages larges (cryothérapie complémentaire per-op?).
Intérêt de l'adjonction de ciment à la cryothérapie (Marcove, 1990)
Intérêt de l'adjonction de ciment au phénol (étude EMSOS 1990)

Pourcentage de récidive.
Traitement

Curetage large + comblement au ciment (TRILLAT).
Taux de récidive locale après curettage comblement ciment
La radiothérapie est contrindiquée : elle n'évite pas la récidive
La radiothérapie expose à la dégénérescence (Coll.J.P.Lerat)
Tumeurs à Cellules Géantes malignes
Après irradiation une tumeur à cellules géantes bénigne peut se transformer en tumeur maligne (25% des cas d'après Dalhin).
il s'agit le plus souvent de sarcome riche en cellules géantes (Histiocytofibrome malin) mais il peut aussi s'agir d'ostéosarcome, de fibrosarcome, de sarcome anaplasique, telangiectasique...
Certaines tumeurs riches en cellules géantes sont malignes d'emblée. Elles se classent parmi les histiocytome fibreux malins.
Transformation maligne des Tumeurs à Cellules Géantes
Dans notre relevé aucune tumeur à cellules géantes bénigne non irradiée ne s'est transformé au fil des récidives pour devenir un sarcome riche en cellules géantes.
Par contre nous avons observé 4 cas de MFH riches en cellules géantes dont 2 n'ont exprimé leur malignité qu'à l'occasion de récidives itératives.
Dans tous les cas le réexamen des coupes histologiques initiales a redressé le diagnostic.
Mazabraud 1994
La tumeur à cellules géantes est une tumeur bénigne plus ou moins agressive localement capable de donner des métastases bénignes.
L'évolution sarcomateuse imprévisible par l'examen optique (1% des cas) correspond pour une large part à l'insuffisance fondamentale de l'examen morphologique et pour une faible part à une réelle transformation maligne.
Nos indications thérapeutiques
Une fois le diagnostic de tumeur à cellules géantes bénigne établi le traitement sera
le plus souvent un curetage-comblement avec ou sans utilisation d'adjuvants locaux, avec ou sans ostéosynthèse de protection.
Nous préférons sont actuellement le comblement acrylique :
Exceptionnellement une résection :
localisation sur os "sans importance mécanique" (extrémité supérieure du péroné, cote, aile iliaque...) ;
L'articulation déjà trop détruite par la tumeur ne peut être conservée.
Résultats à long terme du traitement des tumeurs à cellules géantes bénignes par le comblement au ciment. A propos de 37 cas.
Inconvénients du comblement osseux
Cette technique est la plus fréquement utilisée en France. Elle nécessite un capital osseux suffisant.
Elle est difficile à réaliser lorsque la tumeur est volumineuse ou fracturée.
Elle est exposé à des récidives fréquentes parfois itératives.
Le comblement osseux aboutit dans 12% des cas à la suppression de l'articulation
Résultats des curetages-comblement à l'os de la série EMSOS
677 curetages-comblements pour Tumeurs à Cellules Géantes bénignes des membres ont donné :
503 guérisons par un ler curetage-comblement et 174 récidives dont :
- 85 se sont soldées par des résections (et quelques rares amputations).
C'est pour ces raisons que nous lui préférons le comblement acrylique.
Risques potentiels du comblement ciment
L'effet thermique peut entraîner une nécrose de l'os et du cartilage articulaire.
La rigidité du ciment peut limiter la vitalité du cartilage et favoriser une arthrose ou des fractures secondaires.
Le corps étranger peut augmenter le risque infectieux.
C'est pour évaluer la fréquence réelle de ces complications possibles que nous présentons ici les résultats à long terme.
Casuistique
Depuis 1975, nous avons réalisé 37 comblements au ciment pour des tumeurs à cellules géantes bénignes.
L'âge moyen des malades est de 30 ans.
Il s'agissait, dans 19 cas, d'hommes et dans 18 cas de femmes.
Topographie des tumeurs

Le fémur dans 13 cas,
Le tibia dans 11,
Le radius dans 6,
Le rachis mobile dans 3 cas,
L'humérus dans 2,
péroné et calcanéum dans les derniers cas.
Circonstances de prise en charge

9 malades ont été vus pour récidive après comblement osseux.
7 souffraient de fracture.
Sur les radiographies 17 tumeurs étaient agressives.
Technique opératoire
Comporte 4 temps :
1°) véritable éventration de la cavité tumorale suivie.
2°) d'un curettage long et patient.
3°) puis d'une ostéosynthèse.
4°) avant le comblement de la cavité tumorale avec du ciment acrylique.
(2 malades ont subi une cryothérapie associée).
Traitement d'une Tumeur à Cellules Géantes du radius
Traitement d'une Tumeur à Cellules Géantes du tibia
Traitement d'une Tumeur à Cellules Géantes du fémur
Traitement d'une fracture sur Tumeur à Cellules Géantes

Fracture révélatrice d'une Tumeur a Cellules Géantes du fémur distal.
Curettage, réduction, contention par broche puis ostéosynthèse par plaque avant cimentage.
Traitement d'une fracture du radius
Les suites opératoires
Les suites opératoires ont été simples et l'usage libre du membre autorisé dès le 8ème jour.
L'appui a été immédiatement autorisé pour les tumeurs du membre inférieur y compris en cas de fracture.
La durée moyenne d'hospitalisation a été de 5 jours pour les membres supérieurs et 10 pour les membres inférieurs.
Complication (1)
Un malade a souffert d'algodystrophie responsable de douleurs et d'une raideur persistante.
Un autre, présentant une saillie du ciment au contact des tendons de cheville a souffert de synovite irritative qui a disparu après remplacement du ciment par de l'os spongieux.
Aucune infection secondaire.
Aucune fracture autour du ciment n'a été observée.
Évolution après fracture (1)

Malgré l'appui immédiat toutes les fractures ont consolidées autour du ciment.
Évolution après fracture (2)

Malgré l'appui immédiat toutes les fractures ont consolidées autour du ciment.
La fracture du calcanéum dont l'ostéosynthèse n'était pas satisfaisante a consolidé au prix d'un cal vicieux.
Résultat tumoral

Avec un recul moyen de 13 ans, 7 malades (20%) ont récidivé dont 3 avec une atteinte dans les parties molles.
Traitement des récidives

Toutes les récidives osseuses ont été reprises d'autres comblements ciments.
Mais 2 malades ont du subir une résection prothèse.
A la dernière consultation

Tous les malades sont en rémission de leur tumeur avec conservation de la fonction articulaire mais 4 malades ont une mobilité diminuée par rapport au membre sain
et 3 ont reçu une prothèse d'emblée ou secondairement.
Résultat fonctionnel tardif (radius)
Résultat fonctionnel tardif
Enraidissement partiel de cheville après traitement de récidives
L'examen radiographique

L'examen radiographique a montré une détérioration notable de l'interligne articulaire au contact du ciment en 2 cas :
- 1 fracture où la réduction était incomplète (varus).
- 1 des deux malades qui a subi une cryothérapie associée.
Avantages du ciment
1°) absence de prélèvement osseux.
2°) possibilité de traiter des lésions préalablement infectées.
3°) usage immédiat et libre du membre opéré.
4°) surveillance radiologique facile.
5°) excellent taux de sauvegarde articulaire à long terme même en cas de tumeur de l'extrémité inférieure du radius.
Limites du procédé

Nécessite un "moule" périphérique,
Ne prévient pas les récidives dans les parties molles,
L'effet thermique n'est apparent qu'en cas de tumeur de gros volume (et donc généralement insuffisant pour les tumeurs du radius ou du tibia distal).
Conclusion 1
- Plus simple que le comblement osseux,
- Appui immédiat même en cas de fracture,
- Hospitalisation plus courte,
- Moins de complication que les autres techniques,
- Surveillance radiologique plus facile,
Le comblement ciment complété d'une ostéosynthèse systématique est exposé également à moins de récidives.
Revue de la littérature

L'analyse des séries publiées confirme le moindre risque de récidive locale après comblement ciment qu'après comblement osseux.
Conclusion 2
A long terme, le comblement ciment préserve mieux que toute autre technique, la mobilité articulaire n'expose pas à des complications mécaniques particulières.
Il paraît indiqué, pour cette raison, dans toute tumeur à cellules géantes bénigne atteignant un os mécaniquement important.