Publié sur :
Document Nicole Delépine - 2012
Voir la version PDF de cette publication :

Diagnostic et classifications actuelles des sarcomes osseux du genou.
G. Delepine,
Nicole Delepine
Diagnostic et classifications actuelles des sarcomes osseux du genou.
Les sarcomes osseux
Les Sarcomes Osseux Sont Rares
Leur fréquence globale est inférieure à 1 % des cancers de l'homme. En 1992 aux états unis on a recensé 2 000 sarcomes des os pour 181 000 cancers du sein et 168 000 cancers des poumons.
Cancer Statistics 1992 .Boring C C et all.Ca A cancer journal for clinicians 42:19;1992
Fréquence Des Sarcomes Osseux Du Genou
En France la prévalence estimée des sarcomes osseux est de 6 /million/an soit environ 300 à 400 nouveaux cas par an dont environ 120 à 160 touchent le genou.
Les Sarcomes Osseux du genou Forment Un Groupe Hétérogène
Il existe plus d'une cinquantaine de variétés de tumeurs malignes primitives de l'os parmi lesquelles :
- Ostéosarcomes
- Chondrosarcomes
- Sarcome d'ewing
- Fibrosarcomes
- Histiocytofibrome malin
- Lymphome osseux primitif
- Sarcomes radioinduits
- Sarcomes du paget | - Adamantinome
- Leiomyosarcome
- Hémangoendothéliome
- Hémangiopéricytome
- Angiosarcome
- Schwannome malin
- Liposarcome
- Chordomes |
| Caractéristique ou tissu d'origine | Dénominations |
| Tumeurs avec formation de substance osseuse par les cellules tumorales | Ostéosarcomes |
| Tumeurs avec formation de cartilage et sans formation de substance osseuse | Chondrosarcomes |
| Tumeurs dans lesquelles les cellules tumorales forment des fibres | Histiocytofibrome malin Fibrosarcome |
| Crête neurale | Sarcome d'Ewing |
| Parois vasculaires | Leiomyosarcome, Hémangoendothéliome, Hémangiopéricytome |
| Tissu adipeux | Liposarcome |
| Tissu nerveux | Schwannome malin |
| Inconnue | Adamantinome |
Maladies Prédisposant Aux Sarcomes Osseux
| Tumeur bénigne d'origine | Sarcomes secondaires |
| Enchondrome | Chondrosarcomes centraux |
| Exostose ostéogénique | Chondrosarcomes
périphériques |
| Dysplasie fibreuse | Fibrosarcomes, MFH, Ostéosarcomes |
| Infarctus osseux | Fibrosarcomes, MFH |
| Ostéomyélite chronique | Fibrosarcomes |
| Maladie de Paget | Ostéosarome, Chondrosarcome, Fibrosarcome, MFH |
| Dysplasie ostéofibreuse | Adamantinome |
| Neurofibrome | Schwannomes, liposarcome |
Fréquence relative des différents sarcomes osseux du fémur (Nb)
Fréquence relative des différents sarcomes osseux du tibia (Nb)
Fréquence relative des différents sarcomes osseux du péroné (Nb)
Ostéosarcomes : Répartition par sexe, age et topographies
Les anomalies de la trame osseuse
Les anomalies de la trame osseuse associent des plages de condensation et d'ostéolyse donnant un aspect vermoulu à l'os.
Rupture du périoste : triangle de Codman
Envahissement des parties molles : le feux d'herbe
Les calcifications des parties molles perpendiculaires à l'axe principal de l'os réalise le classique feux d'herbe.
Aspect typique d'Ostéosarcome du péroné
Aspects radiologiques d'ostéosarcome
Ostéosarcome juxta cortical
- L'ostéosarcome parostal ou juxtacortical siège électivement à la face postérieure du fémur.
- Il n'envahit que très tardivement la médullaire.
- Il s'agit d'une tumeur de faible degré de malignité dont le traitement classique est uniquement chirurgical.
Ostéosarcome juxta cortical évolué
Malade de 29 ans vue pour récidive. Le scanner affirme la nature juxtacorticale et la progression tout autour du fémur avec une ébauche d'envahisement intramédullaire.
Aspect moins évocateur
Jeune homme de 17 ans consultant pour des douleurs du genou d'horaire mécanique.
Cliniquement : genou froid, sec, stable, avec une zone douloureuse à la palpation de la face interne du genou.
Radiographie : petite réaction périostée postéro latérale interne du fémur.
Forme trompeuse sans atteinte des parties molles
Adolescent de 13 ans souffrant depuis 3 mois de son genou.
Radiographies montrant une lacune polycyclique sans atteinte des parties molles.
Aspect trompeur épiphysaire et lytique évoquant une tumeur à cellules géantes
Jeune femme de 25 ans souffrant de son genou selon un rythme mécanique depuis 3 mois.
Intérêt du scanner devant des anomalies oseuses non évidentes
Volumineux envahissement des parties molles au scanner.
Anomalies radiologiques discrètes sur les radiographies standard.
Répartition par topographie de 3920 chondosarcomes
Les chondosarcomes touchent surtout:
- Les os plats ( illique, omoplate, cotes )
- Les gros os des membres ( fémur supérieur ) dans leur portion proximale.
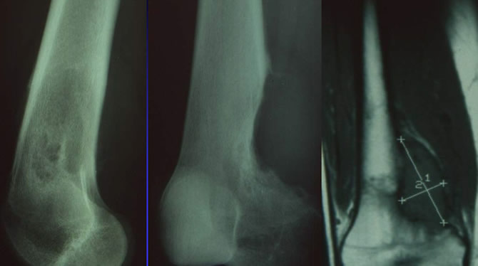
Chondosarcome de bas degré de malignité
Chondosarcomes de bas degré de malignité (IA) chez une jeune femme de 22 ans.
La tumeur douloureuse depuis 3 ans a progressiement soufflé le fémur inférier et s'est propagé dans la médullaire bien au dela de l'image anormales sur les radiographies standard.
L'IRM permet de mesurer l'extension intramédullaire et de vérifier que la tumeur reste confinée a l'os.
Homme de 37 ans ayant des douleurs depuis 6 mois
Forme exceptionnelle de bas degré de malignité
Une forme exceptionnelle de bas degré de malignité: Le chondosarcome à cellules claires localisation épiphysaire pure.
Il guéri habituellement après chirurgie large.
Chondosarcome secondaire à une exostose
Chondosarcome secondaire à une exostose tibiale chez un homme de 45 ans.
Douleurs tibiales chez une femme de 65 ans
Malgré l'aspect radiologique peu inquiétant, le scanner et la scintigraphe s'imposent du fait de l'âge, des douleurs et des limites floues.
-Scintigraphie hyperfixante.
Scanner montrant:
-Une rupture corticale,
-Un début d'envahissement des parties molles,
-Quelques calcifications intra tumorales évoquant la nature cartilagineuse de la tumeur.
La biopsi s'impose par une voie centrée sur l'atteinte des parties molles.
Condosarcomes défifférencié fibreux.
Répartition par topographies de 2194 Ewing (10 séries)
Il peut toucher tous les os mais se localise surtout sur les os plats des ceintures et sur les gros os des membres.
Les localisations diaphysaires ne sont pas rares Bassin, omoplate, cotes fémur, tibia et humérus regroupent plus des 2/3 des cas publiés.
Aspects anatomopathologiques du sarcome d'Ewing.
 | 
La tumeur est très monomorphe, constituée de petites cellules rondes à gros noyau contenant du glycogène mis en évidence par la réaction au PAS et positive avec l'antigène Mic 2
|
Réactions périostées du sarcome d'Ewing
Aspects radiologiques classiques du Sarcome d'Ewing

Le sarcome d'Ewing peut ne donner qu'un minimum de signes osseux
Malade de 26 ans vu 8 mois auparavant après un accident de travail (traumatisme direct) suivi de douleurs du genou.
Radiographies considérées comme normale.
1 arthroscopie négative.
Deuxième arthroscopie avec biopsie par voie intra articulaire permettant le diagnostic.
La radio standard sous estime parfois considérablement la taille d'un Ewing
Radiographie standard - IRM concomittante montrant l'atteinte considérable des parties molles.
Image d'Ewing lytique pur chez un garçon de 13 ans
Ewing périosté chez une fille de 17 ans
IRM montrant bien l'atteinte ostéolytique localisée à la corticale, sans atteinte médullaire, ni envahissement des parties molles.
Ewing périosté chez une jeune fille de 18 ans
Ostéolyse minime de la corticale, mais gros envahissement des paries molles.
Implication chirurgicale possible
Hémirésection fémorale permettant une reconstruction composite. Fonction excellente.
Répartition par sexe, age et topographies de 569 M.F.H.
Répartition par topographies, age et sexe de 775 Fibrosarcomes.
Fibrosarcome de bas degré de malignité I B
Ostéolyse relativement bien limitée
Soufflant discrètement la corticale
Sans réaction périostée
Ni calcification intra tumorale ni ossifications
Discret envahissement des parties molles postérieures
Aspect typique d'un MFH de la métaphyse fémorale inférieure
Ostéolyse multiloculaire
Rongeant les corticales de l'intérieur
Discrète soufflure de l'os
Corticale continue
Pas de calcifications ni d'ossifications tumorales
Fibrosarcome II B
Ostéolyse mitée
Sans réaction périostée
Petit envahissement des parties molles
Aspect typique d'un MFH de surface Stade II B
Aspect typique d'un MFH de surface
Principaux progrès dans le traitement local
- Imagerie médicale informatisée permettant d'évaluer précisément l'extension de la maladie.
- Audace des chirurgiens permettant de conserver un membre utile dans plus de 95% des cas.
- Amélioration des moyens de reconstruction prothétique massif.
Progrès en imagerie médicale. 1980 : le Scanner
Le scanner a permis de dépister l'extension intra médullaire invisible sur les clichés standard mais restait limité pour l'analyse de l'extension intra articulaire ou pour les petits os.
Métastases sauteuses du fémur distal
Métastases sauteuses du Tibia proximal
Bilan préopératoire d'un ostéosarcome
Dans tous les cas :
=> radiographies standard en taille réelle
=> Scanner os entier avec reconstruction
=> Scintigraphie osseuse corps entier
=> IRM
Parfois :
=> Angiographie digitalisée
=> Phlébographie
Classification histologique
Critères principaux :
- nombre de mitoses par champ
- Atypies cellulaires
- importance de la nécrose.
En France la classification Histologique comporte trois degrés de malignité :
- Degré 1 le plus bas
- Degré 3 le plus élevé
Absence de grading histologique universel
Fréquence des formes classées intermédiaires
Fréquence des tumeurs sans
Pour le futur :
- marqueurs de la prolifération cellulaire
- ploïdie des chromosomes tumoraux
- comptages des cellules S ou marqueurs de la prolifération tumorale
Classification chirurgicale internationale
- Proposée par Ennecking puis complétée et modifiée par les principales équipes internationales elle a été adoptée par les sociétés américaine et européenne des tumeurs du squelette et représente la classification de base utilisée lors des congrès et dans les articles et les communications internationales.
- Elle prend en compte :
Le potentiel évolutif coté I, II ou III et l'extension locale cotée A ou B
Évolution des sarcomes de faible degré de malignité
Caractérisés par une progression locale souvent lente par contiguïté d'abord le long de la cavité médullaire osseuse. La corticale résiste et s'épaissit pendant que la tumeur la ronge de l'intérieur donnant un aspect d'os soufflé. Pendant longtemps la tumeur reste confinée à l'os intracompartimentale.
Pseudocapsule tumorale
Au bout d'un certain temps la corticale puis le périoste se rompent permettant l'envahissement des parties molles la tumeur devenant alors Extra compartimentale.
- Autour de la tumeur proprement dite, les tissus sains refoulés et comprimés constituent une pseudocapsule constante.
- Cette pseudo capsule ne forme cependant pas un plan de sécurité carcinologique car elle est très fréquemment envahie, ou franchie par des nodules de perméation.
Classification chirurgicale : Extension locale
Les sarcomes osseux envahissent exceptionnellement les vaisseaux
L'artère est retenue contre la tumeur par les artères nourricières.
Après ligature de toutes les artérioles le tronc artériel principal peut être mobilisé.
Chondrosarcome du creux poplité
La tumeur partie de la face postérieure du tibia, affleure la peau du creux poplité. L'imagerie médicale montre que la veine est occluse et que l'artère est perméable.
Pas d'envahissement vasculo nerveux
L'intervention a montré la liberté parfaite des vaisseaux et des nerfs.
Une fois que le pédicule a été sectionné, il a été possible de libérer l'artère de la tumeur sans l'ouvrir.
Les Sarcomes n'envahissent pas les artères
Atteinte veineuse
Une colonisation veineuse n'a été observée que dans les ostéosarcomes
Les malades qui ont survécu à cet envahissement veineux sont ceux qui ont bénéficié d'un geste étendu à la veine et d'une chimiothérapie avec bonne réponse histologique.
Les sarcomes n'envahissent pas les nerfs
En règle générale les nerfs fuient les sarcomes osseux dont il restent séparés par la pseudo capsule.
Dans notre casuistique, sur plus de 500 sarcomes osseux moins d'une sur cent englobaient un nerf principal attaché à l'os :
- Deux fois le nerf radial dans la coulisse humérale.
- Trois fois le nerf sciatique poplité externe sur le col du péroné.
L'envahissement neuro-vasculaire
1°) L'envahissement neuro-vasculaire est rare dans les ostéosarcomes, exceptionnel dans les chondrosarcomes, est absent dans le sarcome d'Ewing.
2°) L'envahissement neuro-vasculaire ne constitue pas un facteur limitant significatif de la chirurgie conservatrice.
3°) Le pronostic de l'envahissement veineux dépend du protocole de chimiothérapie. Tout oedème distal du membre sur une grosse tumeur doit faire pratiquer la recherche d'un thrombus tumoral pour envisager d 'étendre la résection monobloc à la veine envahie.
Évolution des sarcomes de haut degré de malignité
Se caractérise par une évolution locale plus rapide et plus agressive et une diffusion à distance :
- Dans la médullaire : métastase sauteuse.
- Le long des loges musculaires envahies ou des coulées conjonctives : nodules de perméation.
- Mais aussi par voie veineuse, responsable de métastases pulmonaires ou osseuses, et exceptionnellement (histiocytofibrome malin) par voie lymphatique.
Classification chirurgicale : Degré de malignité III (Ennecking)
Sarcome dont la haute malignité est attestée par l'existence de métastase(s) au bilan initial.
Classification Chirurgicale
La combinaison du potentiel évolutif (I , II ou III) et de l'extension locale (A ou B) détermine six groupes de pronostic différent qui guident les indications thérapeutiques.
Grading selon Ennecking
Selon leur aspect évolutif, on distingue les sarcomes de bas degré de malignité (I) et les sarcomes de haut degré (II) de malignité.
Tumeurs osseuses du genou
Le diagnostic précoce permet de traiter des petites tumeurs, de meilleur pronostic cancérologique et fonctionnel.
Devant toute symptomatologie inexpliquée, même apparemment banale, une radiographie de la zone symptomatique s'impose.
En cas de tumeur osseuse une analyse rigoureuse des signes radiographiques oriente habituellement fortement le diagnostic.
Lorsque la symptomatologie persiste alors que les radiographies standard sont normales l'IRM est indiquée.
Analyse radiographique : Bénin ou malin ?
Lésions malignes:
2:limites floues
4:rupture périostée
6:extension dans les parties molles
8:ostéolyse mitée
9:extension médullaire
Lésions bénignes:
1:limite nette,finement cerclée.
3:corticale continue
5:pas d'atteinte des parties molles
7:ostéolyse géographique
Au terme de cet examen radio clinique
Tantôt la lésion représente une exception licite à la biopsie :
Exostose de l'enfant non compliquée
Lacune corticale bénigne
Kyste solitaire typique
Métastase osseuse dont on connaît le primitif
Tantôt le diagnostic est incertain et la malignité ne peut être formellement exclue.
Scanner ou IRM s'imposent pour concevoir la technique de résection monobloc future avant de choisir la voie d'abord de la biopsie nécessaire.
Le Diagnostic d'une tumeur osseuse repose sur un faisceau d'arguments
La biopsie chirurgicale constitue le préalable indispensable à la mise en route de traitements éventuellement agressifs.
Mais elle ne représente qu'un élément du diagnostic et son résultat doit toujours être confronté à la présentation radio clinique: age du malade, signes cliniques, évolution, radio...
Cela est particulièrement important dans les tumeurs cartilagineuses dont les critères histologiques de bénignité sont parfois insuffisants.
Inconvénients de la biopsie
Ouvrant la tumeur, la biopsie entraîne un ensemencement du champ opératoire et oblige à réséquer ultérieurement avec la tumeur tout ce qui a été inoculé :
- voie d'abord de biopsie et tous les espaces anatomiques traversés
- trajet du redon.
La cicatrice et la voie d'abord de la biopsie doivent donc être enlevées en monobloc avec la tumeur
Principes de la biopsie
Elle doit obéir aux règles strictes de la chirurgie carcinologique et ne pas gêner l'exérèse future.
Sa technique dépend de la résection monobloc éventuelle future.
Ne doit être pratiquée qu'après un scanner ou une IRM et qu 'on ait prévenu l'anatomopathologiste.
Règles de la biopsie
Incision courte, dans l'axe du membre près de l'incision de l'exérèse future.
Facile à agrandir et à enlever avec la tumeur.
Abord transmusculaire le plus direct possible.
Évitant tout élément noble.
Respectant l'articulation.
Examen extemporané des parties molles atteintes.
Fenêtre corticale obturée au ciment.
Sortie du redon éventuel entre 2 points.
Les étapes de la biopsie pour tumeur du condyle externe
L'Examen extemporané
L'examen histologique extemporané confirme le diagnostic en peropératoire 8 fois sur 10 et permet alors d'entamer la chimiothérapie immédiatement.
Dans les autres cas, il aura permis de vérifier que le prélèvement a porté sur du tissu tumoral viable.
LES ERREURS OBSERVEES
Double incision.
Biopsie-éxérèse (supprime un témoin de chimiosensibilité utile)
Abord des éléments nobles ou ouverture de l'articulation voisine.
Ostéosynthèse immédiate.
Infection postopératoire gênant la chimiothérapie.
Hématome postopératoire diffusant largement les cellules tumorales sur le champ opératoire.
LES ERREURS D'INCISION
Incisions MULTIPLES
Impossibles à enlever
Risque de récidive locale
Incision TRANSVERSALE
difficile à agrandir et à exciser
Risque de nécrose cutanée
Voie d'abord inoculant le paquet VN poplité
Ostéosarcome juxta cortical à développement condylien postérieur.
Ostéosynthèse d'emblée (1)
Ostéosarcome révélé par une fracture dont la nature pathologique est passée inaperçue
Ostéosynthèse dans la tumeur :
Contamination tumorale majeure imposant l'amputation
Ostéosynthèse lors de la biopsie (2)
Chondrosarcome pris pour une métastase.
Enclouage à foyer fermé de la tumeur.
Retard au diagnostic.
Contamination tumorale majeure imposant l'amputation.
Biopsie exérèse+ostéosynthèse en un temps
Diagnostic évoqué : Exostose agressive
Diagnostic réel : Ostéosarcome !!!!
Loge externe de cuisse contaminée
Amputation nécessaire
perte du témoin de chimiosensibilité nécessaire à l'optimalisation de la chimiothérapie
Pertes de chances de survie.
Curettage ostéosynthèse en un temps
Articulation inoculée
Loge externe de cuisse contaminée
perte du témoin de chimiosensibilité nécessaire à l'optimalisation de la chimiothérapie
Pertes de chances de survie
SARCOMES OSSEUX 1981-2002 : QUALITE DE LA BIOPSIE
Ces erreurs sont trop fréquentes!
Conséquences de la biopsie sur le contrôle local (notre série d'ostéosarcomes localisés des membres)
Conséquences sur la Survie en émission de la biopsie dans notre série d'ostéosarcomes des membres
Conséquences de la biopsie en 1992 étude multicentrique américaine (1)
Évaluées sur 597 malades de 21 institutions par 25 chirurgiens membres de la M.S.T.S.
Biopsies erronées dans 17.8% obligeant à irradier le membre, ou à réaliser une intervention plus complexe, plus délabrante, ou mutilante, que celle qui aurait été réalisée si la biopsie avait été adaptée au traitement définitif.
Erreurs 2 à 12 fois plus fréquentes lorsque la biopsie n'est pas réalisée par un spécialiste en tumeur osseuse.
The Hazards of the biopsy. Revisited. Mankin H .J.J BJS 1996,78A 5:656
Conséquences de la biopsie en 1992 étude multicentrique américaine (2)
Biopsies erronées dans 17.8%
10.1% des malades ont vu leur chances de guérison compromises.
18 malades (3%) ont du subir une amputation qui n'aurait pas été nécessaire si la biopsie avait été adaptée au traitement définitif.
Aucune amélioration constatée par rapport à l'étude de 1982 malgré les efforts d'information réalisés depuis ????
The Hazards of the biopsy. Revisited. Mankin H.J..J BJS 1996,78A 5
Conclusion
LA BIOPSIE CONSTITUE UN FACTEUR DECISIF DU PRONOSTIC LOCAL APRES CHIRURGIE CONSERVATRICE.
CE GESTE TROP SOUVENT CONSIDERE COMME MINEUR DOIT ETRE REALISE PAR L'OPERATEUR RESPONSABLE DE LA RESECTION ULTERIEURE APRES SCANNER ET/OU IRM ET CONCEPTION DU GESTE DEFINITIF.